Dentari Clinic en modern teknolojiler ile deniz manzaralı ferah ortamıyla,
her zaman gülümsemeniz için tasarlandı. Butik, kişiye özel diş hekimliği anlayışıyla,
implant ve çene cerrahisi konusunda uzman Dr. Volkan Arıcı ve estetik diş hekimi Dt.Müjde Akça Arıcı ile korkularınızı yenmek için doğru adrestesiniz :)

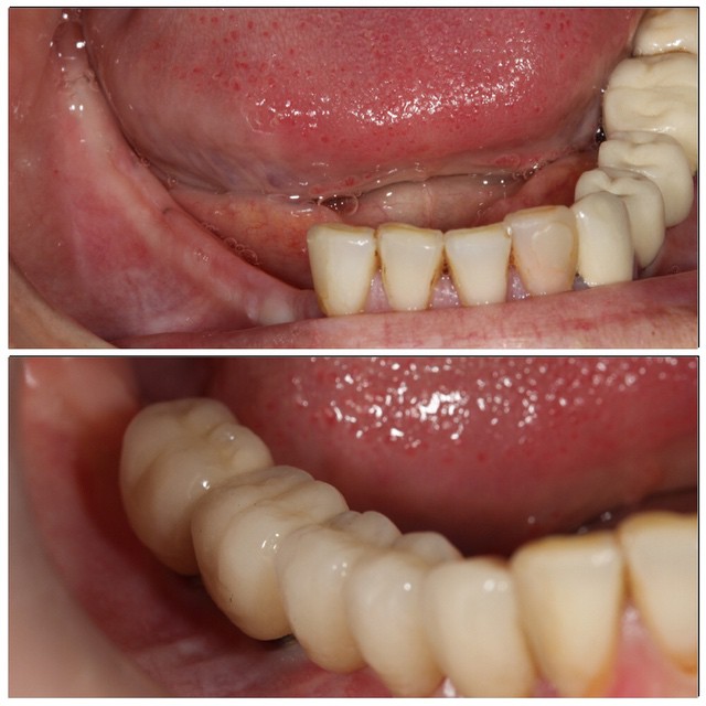
Dental implant, eksik olan dişlerin fonksiyon ve estetiğini tekrar sağlamak amacıyla çene kemiğine yerleştirilen ve Devamı..

“Yaprak Porselen” olarak da adlandırılan porselen laminalar diş estetiği konusundaki tüm problemlerin çözümünde faydalı olabilmektedir. Devamı..
Tıbbın birçok dalında kullanılan lazerin dişhekimliğinde kullanılması da gittikçe yaygınlaşmaya başlamıştır. Devamı..
İmplant Nedir ? , Zararları Varmı?, Her Yaşta İmplant Yapılır mı ? Devamı..